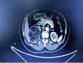
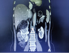
年近6旬的张女士(化名),近期在常规体检中发现右肾存在占位性病变,进一步检查后确诊为右肾多发肿瘤:最小直径约1cm,最大直径约8cm!尽管术前检查考虑良性可能,但由于患者肾脏肿瘤多发,保肾难度大,且对侧肾功能良好,术前检查无禁忌症,医生最终为她实施了全麻下腹腔镜右肾切除手术,张女士(化名)遗憾地失去一颗宝贵的肾脏。

术前影像
肾脏,作为人体的“净水系统”,默默过滤代谢废物,维持内环境稳定。但这片“安静的区域”也可能悄然长出肿瘤。
肾肿瘤的信号密码,你能读懂吗?
肾肿瘤早期大多“无症状”,被称为“沉默的杀手”,很多患者在体检做B超时才偶然发现。随着肿瘤增大,可能出现三大典型症状:
l血尿(尿液中带血,可能是间歇性的);
l腰痛(腰部钝痛或隐痛,由肿瘤压迫周围组织引起);
l腹部肿块(肿瘤较大时可在腹部摸到)。
此外,部分患者还可能伴随体重下降、发热、高血压等“副瘤综合征”表现,容易与其他疾病混淆。如为良性肿瘤,也会缓慢长大,部分肿瘤会自发性破裂引起大出血,严重的甚至直接危及生命!
不必过度惊慌!早发现=高胜大家不要被“肿瘤”二字吓住。肾肿瘤的预后相对较好,尤其是早期发现的患者,5年生存率很高。目前,B超是筛查肾肿瘤最便捷、经济的方式,建议40岁以上人群每年进行一次腹部B超检查,有家族病史、高血压、糖尿病等高危因素的人更要提前筛查。
治疗方面,早期肾肿瘤以手术治疗为主,包括保留肾脏的手术和根治性肾切除术,创伤小、恢复快。
日常护肾,从这些事做起
肾脏的健康需要细心呵护。日常生活中,戒烟限酒、控制体重、低盐饮食、避免滥用药物(减少肾脏负担),都是预防肾肿瘤的重要措施。如果出现上述不适症状,一定要及时就医,早发现、早诊断、早治疗,才能最大程度守护肾脏健康。
我院特色检查、为肾脏健康“精准护航”
广元市中心医院核医学科拥有的PET-CT检查设备常规开展肾小球滤过率及肾图检查,主要用于:
1.评估分侧肾功能:明确左、右肾各自的滤过效率(如肾小球滤过率相关指标),判断是否存在单侧肾功能受损;
2.诊断尿路梗阻:识别是否存在肾盂、输尿管梗阻(如结石、肿瘤压迫等导致的梗阻),并评估梗阻对肾功能的影响程度;
3.监测治疗效果:如肾肿瘤术后、尿路梗阻解除术后,复查肾图以评估患侧或健侧肾功能的恢复情况。