有一种“痛不欲生”叫三叉神经痛!喝凉水痛,刷牙痛,微风拂面也痛!
如果你的面部、舌部有电击样、针刺样、刀割样疼痛,持续时间很短,突然出现、突然停止,不发作的时候一点儿事儿也没有。那你可能正在经历有“天下第一痛”“疼痛之王”称号的三叉神经痛。三叉神经痛可以选择药物治疗,但随着时间推移,药物作用效果越来越差,副作用越来越明显,必须采用手术治疗。现在广元市中心医院神经外科治疗三叉神经痛有新妙招啦—经皮三叉神经半月节球囊压迫术(PBC)。
经皮三叉神经半月节球囊压迫术(PBC)并非是一项新技术,早在1978年就应用于治疗三叉神经痛,近年来由于影像学的进步使得穿刺技术定位更精准、安全,该项技术逐渐兴起,具有手术费用低、住院时间短、效果明显等优势。以下是神经外科近日完成的一例三叉神经痛患者PBC术,取得良好效果。
针尖穿过颅底卵圆孔
患者张××,男,63岁,因“右侧面部一过性电击样疼痛10+年“入院,患者于2年前在我院行微血管减压术,术后疼痛有所缓解,但仍感面部疼痛。于2020.2.2日入院行三叉神经节球囊压迫术。

已拔出穿刺针芯,经穿刺针置入球囊(尚未注射造影剂),可见球囊远端(红色箭头)
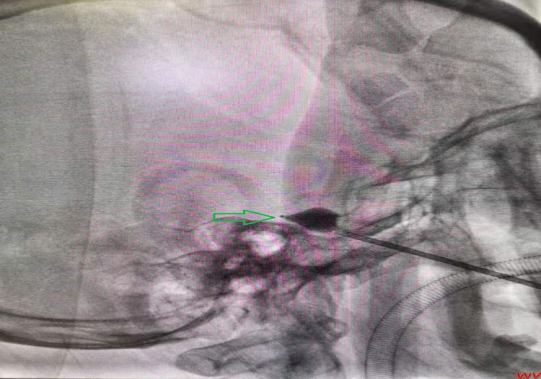
球囊位置向梨尖处轻微扩展(绿色箭头)。特征性的梨状外观表明球囊进入Meckel´s腔。
手术结束患者麻醉苏醒后自诉面部疼痛感消失,手术效果立竿见影。术后第二日该患者出院。
广元市中心医院神经外科在开展颅脑微血管减压治疗三叉神经痛的同时,已经常规开展经皮三叉神经半月节球囊压迫术,可根据患者具体情况选择手术方式,住院时间短、效果明显,给广元地区及川陕甘地区的三叉神经痛患者带来福音。